rebectsoft
1
秦皇岛中医院--健康教育
小付大夫给您讲讲有关肾结石的那些事

 

 

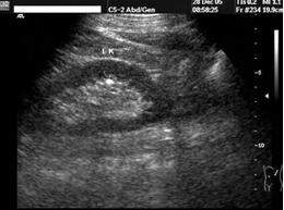
    好多市民一提起肾结石这个病可是谈虎色变,觉得会疼的死去活来的,从而忧心忡忡,下面呢我给大家看一张彩超下的肾结石究竟长什么样子
    看到了吗?肾结石是一些晶体物质和有机基质在肾脏的异常聚积所致,为泌尿系统的常见病、多发病,男性发病多于女性,多发生于青壮年,左右侧的发病率无明显差异。40%~75%的肾结石患者有不同程度的腰痛。结石较大,移动度很小,表现为腰部酸胀不适,或在身体活动增加时有隐痛或钝痛。较小结石引发的绞痛,常骤然发生腰腹部刀割样剧烈疼痛,呈阵发性。
    肾结石的症状取决于结石的大小、形状、所在部位和有无感染、梗阻等并发症。肾结石的患者大多没有症状,除非肾结石从肾脏掉落到输尿管造成输尿管的尿液阻塞。常见的症状有腰腹部绞痛、恶心、呕吐、烦躁不安、腹胀、血尿等。如果合并尿路感染,也可能出现畏寒发热等现象。急性肾绞痛常使患者疼痛难忍。
    当然,我们体检查出了结石,而结石又没有引起症状时该怎么办呢?小付大夫告诉您答案:
1、大量饮水:较小结石有可能受大量尿液的推送、冲洗而排出,尿液增多还有助于感染的控制。
2、调整饮食:饮食成分应根据结石种类和尿液酸碱度而定。草酸钙结石患者,应避免高草酸饮食,限制菠菜、甜菜、番茄、果仁、可可、巧克力等食物的摄入。对特发性高钙尿患者应限制钙摄入。低盐饮食,控制钠摄入。高尿酸者要吃低嘌呤饮食,避免吃动物内脏,少食鱼和咖啡等。
希望广大市民正确看待结石,不要恐慌也不要轻视,及时到正规医院就诊并修正生活习惯,远离结石困扰。
供稿:B超室
编辑:宣传科